Blepharoplasty
Before & After Gallery

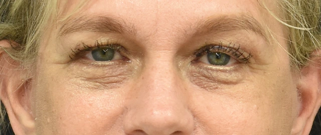
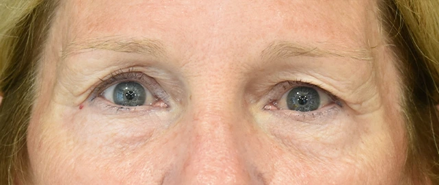
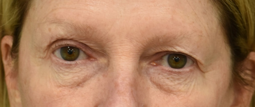
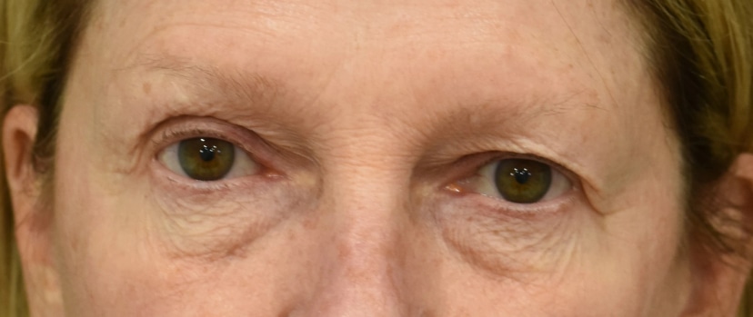
BEFORE

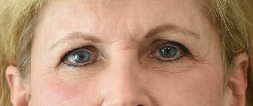
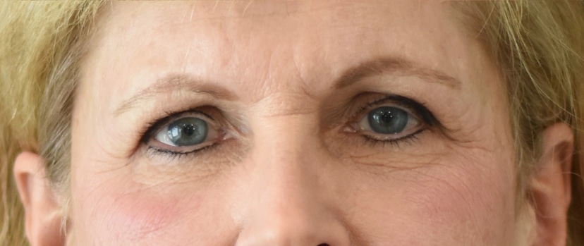
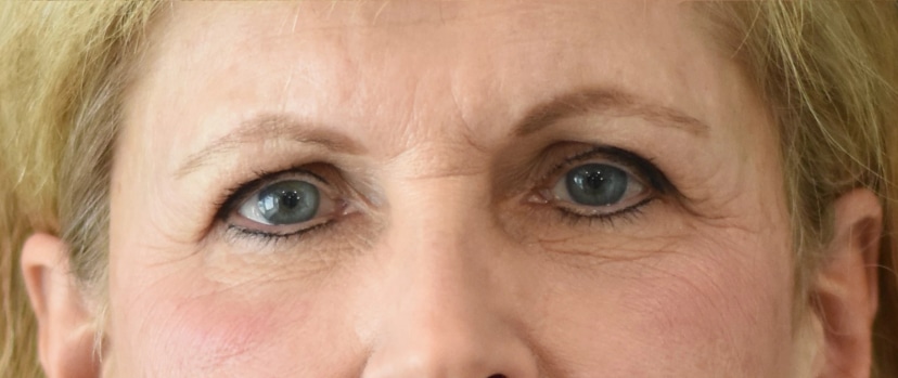
AFTER
VIEW PATIENT DETAIL

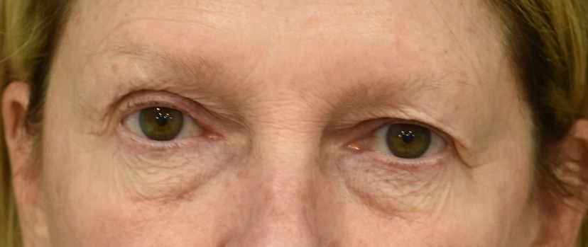
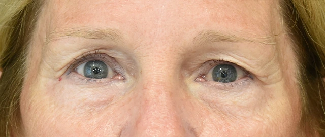
BEFORE

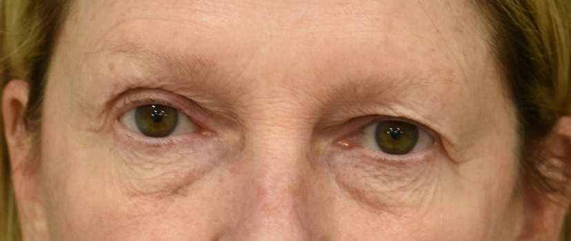
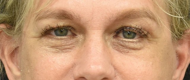
AFTER
VIEW PATIENT DETAIL

BEFORE

AFTER
VIEW PATIENT DETAIL

BEFORE

AFTER
VIEW PATIENT DETAIL

BEFORE

AFTER
VIEW PATIENT DETAIL

BEFORE

AFTER
VIEW PATIENT DETAIL

BEFORE

AFTER
VIEW PATIENT DETAIL

BEFORE

AFTER
VIEW PATIENT DETAIL
BEFORE
AFTER
VIEW PATIENT DETAIL

BEFORE

AFTER
VIEW PATIENT DETAIL

BEFORE

AFTER
VIEW PATIENT DETAIL

BEFORE

AFTER
VIEW PATIENT DETAIL

BEFORE

AFTER
VIEW PATIENT DETAIL

BEFORE

AFTER
VIEW PATIENT DETAIL

BEFORE

AFTER
VIEW PATIENT DETAIL

BEFORE

AFTER
VIEW PATIENT DETAIL

BEFORE

AFTER
VIEW PATIENT DETAIL

BEFORE

AFTER
VIEW PATIENT DETAIL

BEFORE

AFTER
VIEW PATIENT DETAIL

BEFORE

AFTER
VIEW PATIENT DETAIL

BEFORE

AFTER
VIEW PATIENT DETAIL

BEFORE

AFTER
VIEW PATIENT DETAIL

BEFORE

AFTER
VIEW PATIENT DETAIL

BEFORE

AFTER
VIEW PATIENT DETAIL

BEFORE

AFTER
VIEW PATIENT DETAIL

BEFORE

AFTER
VIEW PATIENT DETAIL