Blepharoplasty
Before & After Gallery

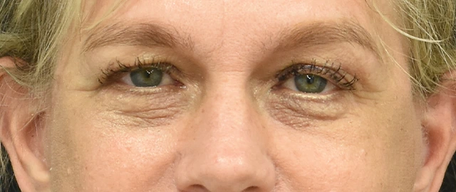
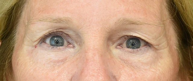
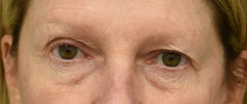
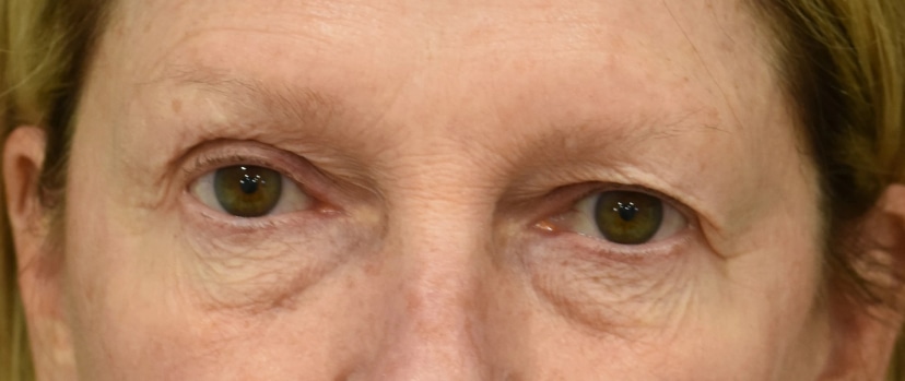
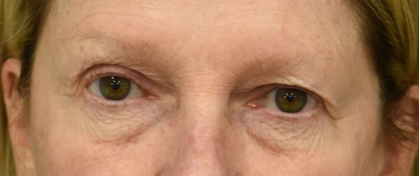
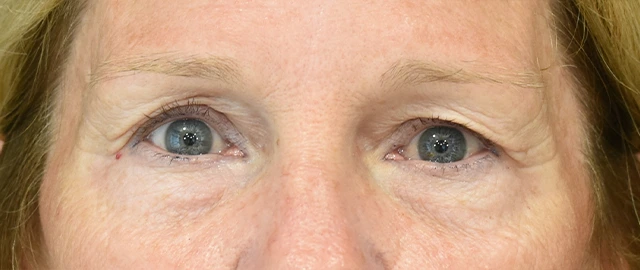
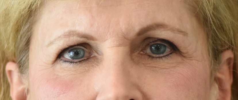
BEFORE

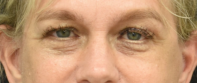
AFTER
VIEW PATIENT DETAIL

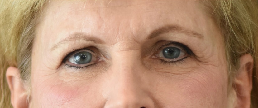
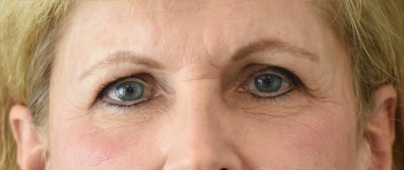
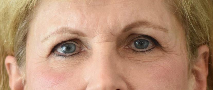
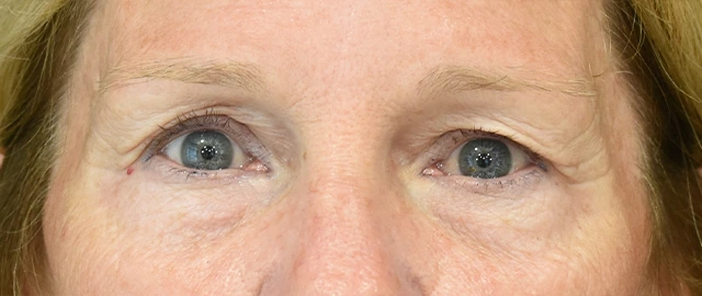
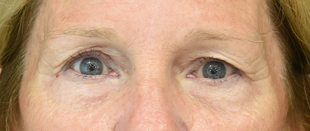
BEFORE

AFTER
VIEW PATIENT DETAIL

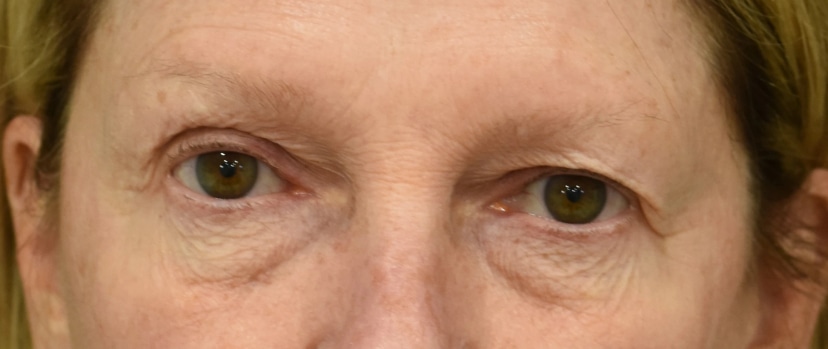
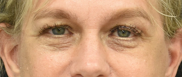
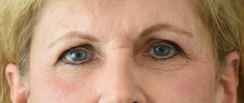
BEFORE

AFTER
VIEW PATIENT DETAIL

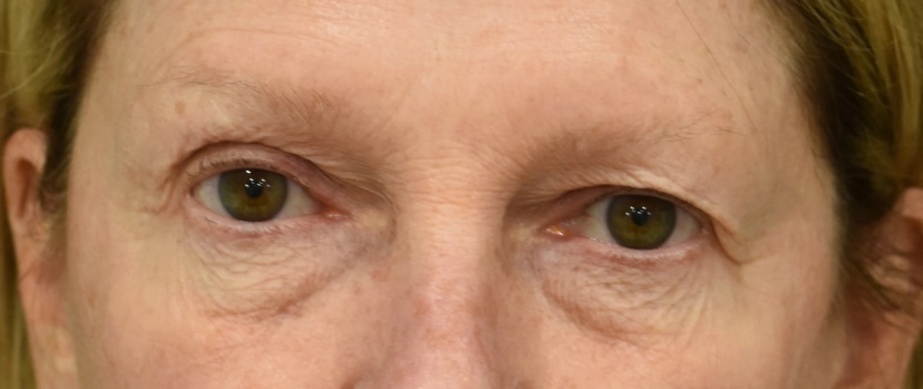
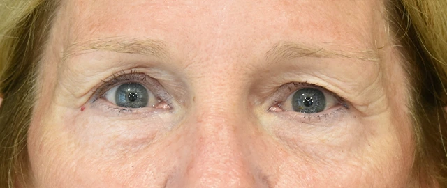
BEFORE

AFTER
VIEW PATIENT DETAIL

BEFORE

AFTER
VIEW PATIENT DETAIL

BEFORE

AFTER
VIEW PATIENT DETAIL

BEFORE

AFTER
VIEW PATIENT DETAIL

BEFORE

AFTER
VIEW PATIENT DETAIL

BEFORE

AFTER
VIEW PATIENT DETAIL
BEFORE
AFTER
VIEW PATIENT DETAIL

BEFORE

AFTER
VIEW PATIENT DETAIL

BEFORE

AFTER
VIEW PATIENT DETAIL

BEFORE

AFTER
VIEW PATIENT DETAIL

BEFORE

AFTER
VIEW PATIENT DETAIL

BEFORE

AFTER
VIEW PATIENT DETAIL

BEFORE

AFTER
VIEW PATIENT DETAIL

BEFORE

AFTER
VIEW PATIENT DETAIL

BEFORE

AFTER
VIEW PATIENT DETAIL

BEFORE

AFTER
VIEW PATIENT DETAIL

BEFORE

AFTER
VIEW PATIENT DETAIL

BEFORE

AFTER
VIEW PATIENT DETAIL

BEFORE

AFTER
VIEW PATIENT DETAIL

BEFORE

AFTER
VIEW PATIENT DETAIL

BEFORE

AFTER
VIEW PATIENT DETAIL

BEFORE

AFTER
VIEW PATIENT DETAIL

BEFORE

AFTER
VIEW PATIENT DETAIL

BEFORE

AFTER
VIEW PATIENT DETAIL